Cidade
China diz ter revolucionado a ortopedia com 'cola óssea' que resolve fraturas 'em minutos'

Cientistas na China anunciaram neste mês o desenvolvimento de uma “cola óssea revolucionária” que pode curar fraturas, que tradicionalmente levariam meses para cicatrizar, em questão de minutos. O produto ortopédico foi batizado como Bone-02.
Lin Xianfeng, cirurgião ortopédico de Hangzhou (China), afirmou que o adesivo pode alcançar uma fixação precisa em questão de minutos, mesmo em ambientes com alto teor de sangue. Bone-02 é resultado de uma busca de corrigir lesões ortopédicas que geralmente exigiriam meses de inatividade e cirurgias invasivas que frequentemente incluem inserções de placas metálicas, informou o “Global Times”.
O tratamento inovador com a cola vem na forma de uma única injeção e “cola fragmentos ósseos quebrados em apenas três minutos”, de acordo com a reportagem.
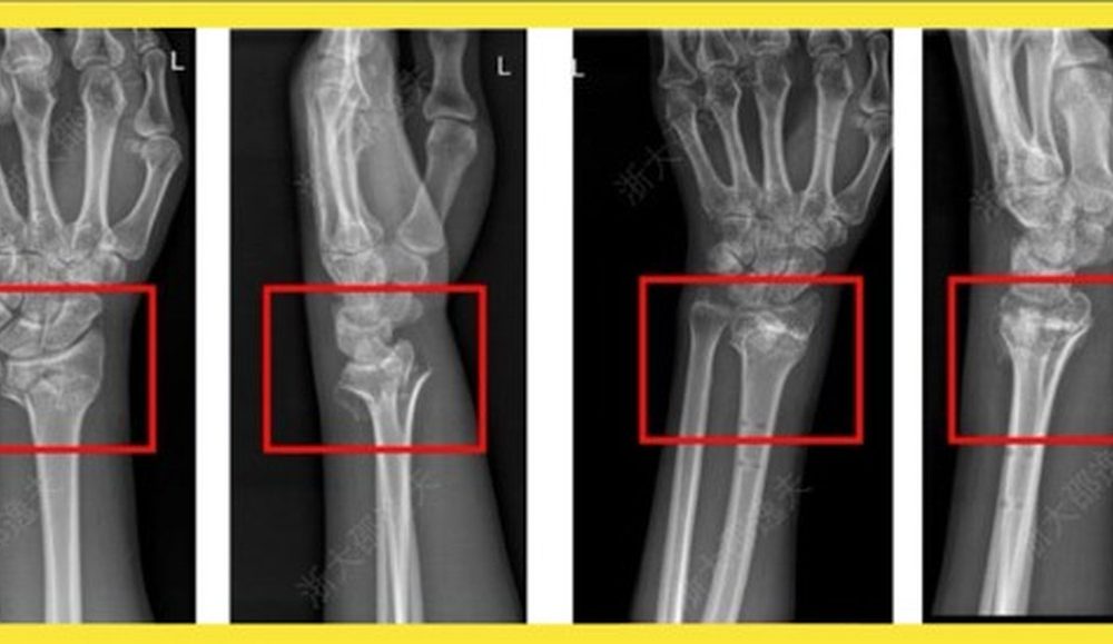
Em caso experimental, um paciente com fratura no punho recebeu uma injeção através de uma incisão de apenas 3 cm e foi curado em apenas três minutos, informou o “Cho Sun Daily”. Uma cirurgia para reparar o punho exigiria uma placa metálica e parafusos, cuja remoção exigiria uma segunda cirurgia no ano seguinte. Após um check-up de acompanhamento de três meses, a fratura do paciente havia cicatrizado completamente sem complicações, afirmou a reportagem.
A inspiração veio do mar, contaram os cientistas por trás do projeto. Mais especificamente da capacidade das ostras de aderir a superfícies subaquáticas difíceis de manusear com adesivos tradicionais, informou o “Interesting Engineering”. Ao contrário das colas comuns, a biocola secretada pelas ostras forma ligações resistentes à pressão e à erosão em condições úmidas, salgadas, molhadas e em constante movimento.
O Bone-02 também pode ser absorvido naturalmente pelo corpo à medida que o osso se consolida, eliminando a necessidade de uma segunda cirurgia para remover os implantes. Testes iniciais também indicam que o uso da cola para ossos produz menos infecções do que procedimentos com placas metálicas.
Fonte